To live well u should eat well therfore you should have teeth well
At Garg Dental Clinic in Dhuri, Punjab, we offer the highest level of best dental treatment at affordable price by using latest dental technology with years of dental experience
From best dental check-up to the most sophisticated dental treatment, we take time to explain your treatment options and answer all your questions about the dental procedures, your payment options and more.
The highest standards of sterilization and cleanliness are maintained in our dental clinic in Dhuri. All instruments are autoclaved in special sealed sterilization pouches, and opened just prior to treating our patients. We work as are a team of specialist doctors of every branch of dentistry to provide the best possible treatment.
Let us be partners for all your dental needs and we promise to bring you a lifetime of healthy smiles at our dental clinic..
Learn More
DIPLOMA IN IMPANTS
RCT & IMPLANT SPECIALIST
GUMS & IMPLANT SPECIALIST
No teeth to fixed teeth
Get your teeth straightened without wire
Does your gums bleed while brushing
Metal Free
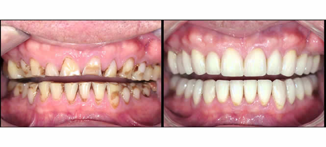
Get your sparkling smile back
Wisdom Tooth
In Our dental clinic we use latest technologies for our patients which are safe and provide best treatment.

Digital X-rays are latest and faster which contain less radiation than traditional X-rays and are safe for you.

Both Braces and Invisalign were designed to straighten irregular teeth .Invisalign consist of set of invisible trays which are worn by patient to gently move their teeth in position

Dental Implant is the latest technique used to replace missing teeth with fix teeth without grinding adjacent tooth

Intraoral camera is a device by the use of which the dentist can show you the current condition of their teeth in new and detailed ways, so that you can make more informed decisions about oral health moving forward.

Root Canal treatment preserves and saves a teeth which otherwise would be lost.We use latest technology like rotary system for providing quality treatment

Dental loupes is the latest tool which helps to see minute detail of tooth which cannot be seen by the naked eye furthermore enhancing the efficiency of treatment